联系电话
18616200296(微信同号)
盛合瑞生物
E-mail
service@bio-shr.com

产品列表

类器官培养全流程试剂

肿瘤类器官培养试剂

正常类器官培养试剂

hiPSC定向分化类器官试剂盒


Telephone
18616200296(微信同号)

E-mail
service@bio-shr.com

胃癌类器官完全培养基

Gastric Cancer Organoid Complete Medium
货号:GCOM-100
规格:100 mL

¥ 3600

扫码添加客服
获取优惠价格

说明书

关注公众号

添加客服微信

产品介绍

胃癌类器官完全培养基是一款用于培养人类胃癌类器官的商品化培养基。患者来源的癌症类器官再现了原始肿瘤的基因组和病理特征,在医学研究和精准医学方面具有良好的应用前景。

产品信息

产品组成 货号 规格 储存条件及周期
Gastric Cancer Organoid Complete Medium A GCOM-100 100 mL 4℃,6个月
Gastric Cancer Organoid Complete Medium B (50×) GCOM-100 1 mL × 2 -20℃,1年
Gastric Cancer Organoid Complete Medium C (250×) GCOM-100 0.4 mL -20℃,1年

胃癌类器官完全培养基的制备

在无菌条件下配制胃癌类器官完全培养基。以下是准备10 mL完全培养基的示例,如所需量不同,请进行相应用量调整。

1. 冰上解冻Gastric Cancer Organoid Complete Medium B (50×)和Gastric Cancer Organoid Complete Medium C (250×)。

注意解冻后,建议将Gastric Cancer Organoid Complete Medium B (50×)和Gastric Cancer Organoid Complete Medium C (250×)按需分装后保存取用,避免反复冻融。

2. 将200 μL Gastric Cancer Organoid Complete Medium B (50×),40 μL Gastric Cancer Organoid Complete Medium C (250×)加至9.76 mL Gastric Cancer Organoid Complete Medium A中,充分混合,配制成10 mL胃癌类器官完全培养基。

注意配制后的胃癌类器官完全培养基可在2-8℃储存,建议在两周内使用。Gastric Cancer Organoid Complete A内含有细菌及真菌抗生素。

附录1 胃癌类器官培养过程图

图1. 胃癌类器官原代(P0)培养生长过程示例。(A)在生长至第3天时,可观察到明显的3D细胞球;(B)继续生长至第6天,这些细胞球直径明显增大且出现囊泡,囊泡壁厚薄不均,体现出肿瘤组织的异质性;(C)在生长至第8天时,直径可达到200 μm。比例尺:100 μm。

图2. 胃癌类器官首次传代后(P1)生长过程示例。(A)经消化传代后的胃癌类器官在24h形成新的3D细胞球;(B)继续生长至第5天时直径明显增大;(C)在生长至第7天时,直径可达到400 μm。比例尺:200 μm。

附录2 胃癌类器官组织染色鉴定图

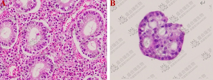
图3. 胃癌组织和类器官HE染色。由图可见胃癌组织(A)和胃癌类器官(B)内细胞的细胞核、细胞质颜色以及核质比均近似,胃癌组织和类器官的细胞间排布紊乱并伴随腺腔结构,说明类器官和来源组织在组织形态上相似。比例尺:20 μm。注:HE染色后细胞核呈现蓝紫色,细胞质和细胞外基质呈现红色。

图4. 胃癌组织和类器官IHC染色。(A-B)细胞增殖标志物Ki67的免疫组织化学染色。结果显示胃癌组织(A)空腔周围细胞含有Ki67阳性细胞,胃癌类器官(B)中Ki67的表达排布类似于胃癌组织,说明胃癌组织和对应类器官的增殖能力均较强。(C-D)CK7(胃癌特异性标志物)免疫组织化学染色。结果显示CK7在胃癌组织(C)和胃癌类器官(D)中细胞的细胞质中表达,说明胃癌组织和对应类器官在胃癌特异性标志物表达上的一致性。比例尺:20 μm。

其他需准备的试剂信息

试剂名称 厂家 货号
类器官专用基质胶 SHRbio OEM-10
样本保存液 SHRbio SPS-100
肿瘤组织消化液 SHRbio TTD-50
肿瘤类器官基础培养基 SHRbio TBM-500
类器官传代消化液 SHRbio OPD-100
类器官润洗液 SHRbio OMR-100
红细胞裂解液 - -