联系电话
18616200296(微信同号)
盛合瑞生物
E-mail
service@bio-shr.com

产品列表

类器官培养全流程试剂

肿瘤类器官培养试剂

正常类器官培养试剂

hiPSC定向分化类器官试剂盒


Telephone
18616200296(微信同号)

E-mail
service@bio-shr.com

胰腺癌类器官完全培养基

Pancreatic Cancer Organoid Complete Medium
货号:PAOM-100
规格:100 mL

¥ 3480

扫码添加客服
获取优惠价格

说明书

关注公众号

添加客服微信

产品介绍

胰腺癌类器官完全培养基是一款用于培养人类胰腺癌类器官的商品化培养基。患者来源的癌症类器官再现了原始肿瘤的基因组和病理特征,在医学研究和精准医学方面具有良好的应用前景。

产品信息

产品组成 货号 规格 储存条件及周期
Pancreatic Cancer Organoid Complete Medium A PAOM-100 100 mL 4℃,6个月
Pancreatic Cancer Organoid Complete Medium B (50×) PAOM-100 1 mL × 2 -20℃,1年
Pancreatic Cancer Organoid Complete Medium C (250×) PAOM-100 0.4 mL -20℃,1年

胰腺癌类器官完全培养基的制备

在无菌条件下配制胰腺癌类器官完全培养基。以下是准备10 mL完全培养基的示例,如所需量不同,请进行相应用量调整。

1. 冰上解冻Pancreatic Cancer Organoid Complete Medium B (50×)和Pancreatic Cancer Organoid Complete Medium C (250×)。

注意解冻后,建议将Pancreatic Cancer Organoid Complete Medium B (50×)和Pancreatic Cancer Organoid Complete Medium C (250×)按需分装后保存取用,避免反复冻融。

2. 将200 μL Pancreatic Cancer Organoid Complete Medium B (50×),40 μL Pancreatic Cancer Organoid Complete Medium C (250×)加至9.76 mL Pancreatic Cancer Organoid Complete Medium A中,充分混合,配制成10 mL胰腺癌类器官完全培养基。

注意配制后的胰腺癌类器官完全培养基可在2-8℃储存,建议在2周内使用。Pancreatic Cancer Organoid Complete A内含有细菌及真菌抗生素。

附录1 胰腺癌类器官培养过程图

图1. 胰腺癌类器官原代(P0)培养生长过程示例。(A)种板后,可观察到细胞团结构;(B)生长至第2天,可观察到3D细胞球,呈空泡囊状结构;(C)继续生长至第6天时,囊泡继续增大,直径可达到200 μm。比例尺:200 μm。

图2. 胰腺癌类器官首次传代后(P1)生长过程示例。(A)经消化传代后的胰腺癌类器官生长状态良好;(B)生长至第5天时体积明显增加,呈空泡囊状结构;(C)继续生长至第8天时,类器官直径可达500 μm。比例尺:500 μm。

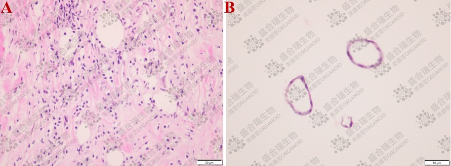
附录2 胰腺癌类器官组织染色鉴定图

图3. 胰腺癌组织和类器官HE染色。由图可见胰腺癌组织(A)和胰腺癌类器官(B)内细胞内核质比近似,且类器官中有中空的内腔,表现出一致的特异性聚集形态,说明类器官和来源组织在组织形态上相似。放大倍数:400×,比例尺:50 μm。注:HE染色后细胞核呈现蓝紫色,细胞质和细胞外基质呈现红色。

其他需准备的试剂信息

试剂名称 厂家 货号
类器官专用基质胶 SHRbio OEM-10
样本保存液 SHRbio SPS-100
肿瘤组织消化液 SHRbio TTD-50
肿瘤类器官基础培养基 SHRbio TBM-500
类器官传代消化液 SHRbio OPD-100
类器官润洗液 SHRbio OMR-100
红细胞裂解液 - -